Monday, June 29, 2015

Hyperthermia Glioma

Hyperthermia Glioma

Retrospective Clinical Study For Advanced Brain- gliomas By ...
Cancer Therapy Vol 8, page 139 139 Cancer Therapy Vol 8, 139-149, 2012 Retrospective clinical study for advanced brain-gliomas by adjuvant electro-hyperthermia ... Doc Retrieval

Photos of Hyperthermia Glioma

FORSCHUNG Retrospective Clinical Study Of Adjuvant Electro ...
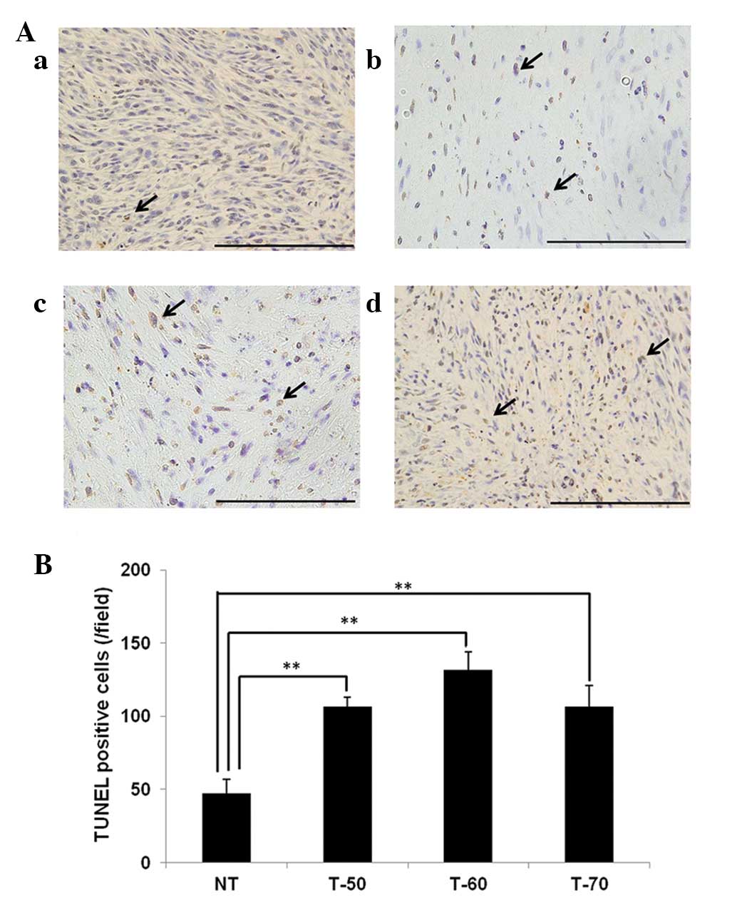
10.2 months for patients with glioma mul-tiforme (n ¼ 5801) [28]. The presented results indicate that electro-hyperthermia either alone or in combination with radiation therapy or ... Fetch Here

Hyperthermia Glioma

RETROSPECTIVE CLINICAL STUDY FOR ADVANCED BRAIN- GLIOMAS BY ...
RETROSPECTIVE CLINICAL STUDY FOR ADVANCED BRAIN-GLIOMAS BY HYPERTHERMIA TREATMENT * Sahinbas H. , Baier J.E., Groenemeyer D.H.W., Boecher E. The present situation in the field of glioma-therapy is well summa- ... Return Doc

Images of Hyperthermia Glioma

Thermotolerance In Human glioma Cells
INT. J. HYPERTHERMIA, 1995, VOL. 11, NO. 4, 523-529 Thermotolerance in human glioma cells G. P. RAAPHORST, J. MA0 and C. E. NG Ottawa Regional Cancer Centre, 190 Melrose Avenue, Ottawa, Ontario, KlY 4K7, ... View This Document

Brain Tumor - Wikipedia, The Free Encyclopedia
They also show a listing of chemotherapy agents used to treat high-grade glioma tumors. [27] Other. A shunt may be used to relieve symptoms caused by intracranial pressure, by reducing the build-up of fluid ... Read Article

Magnetic Nanoparticles - Wikipedia, The Free Encyclopedia
This strategy is used in cancer research to target and treat tumors in combination with magnetic hyperthermia or nanoparticle-delivered cancer drugs. Another potential treatment of cancer includes attaching magnetic nanoparticles to free-floating cancer cells, ... Read Article

Hyperthermia Glioma

Apoptotic Cell Death Induced By Local Brain hyperthermia In A ...
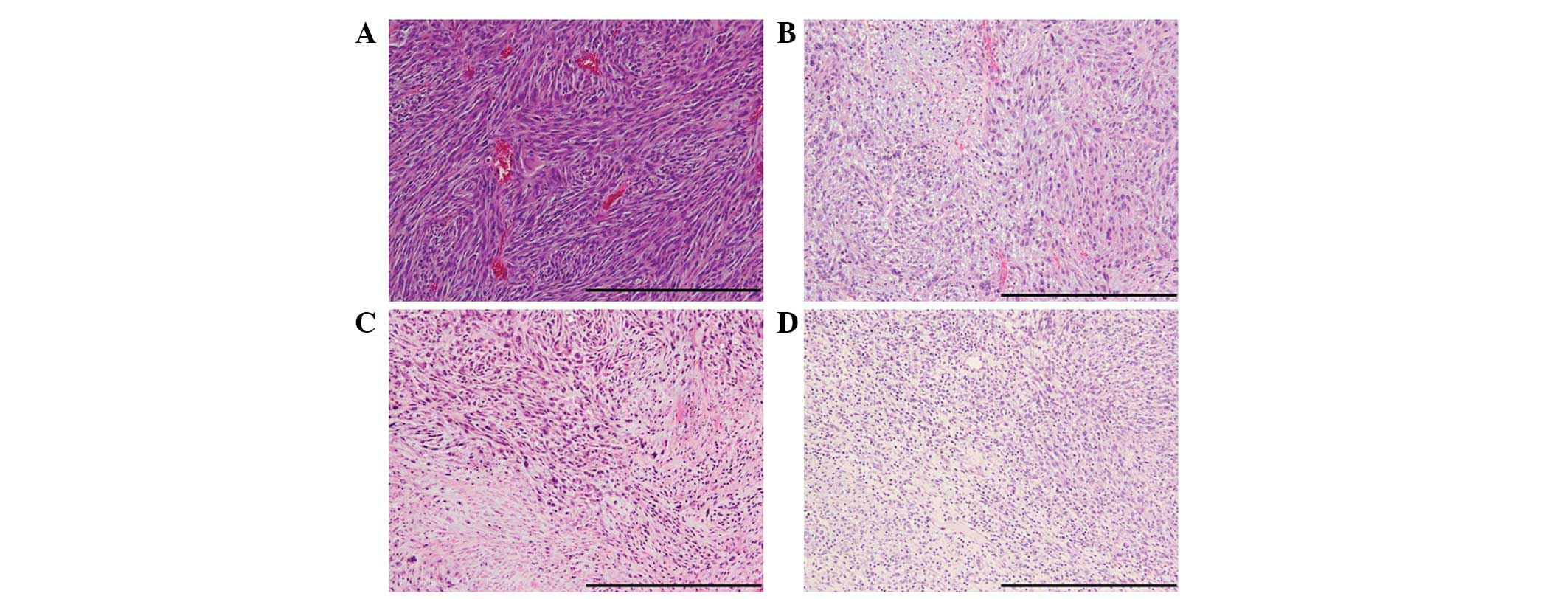
Abstract Hyperthermia has been shown to inhibit glioma growth both in vitro and in vivo, and has been reported to induce apoptosis of a variety of cells. ... Fetch Document

Hyperthermia Glioma Pictures

Hyperthermia In Combination With ACNU Chemotherapy In The ...
Hyperthermia in combination with ACNU chemotherapy in the treatment of recurrent glioblastoma. Douwes, Friedrich, M.D.; Douwes, Ortrun, M.D.; Migeod, hyperthermia in a rat glioma model. Acta Neuropathol (Berl) 1998;96(4):351-6. ... Get Doc

Thalamus Tumor Brain Usg - YouTube
This feature is not available right now. Please try again later. Published on Aug 18, 2013. thalamus tumor brain usg ... View Video

Photos of Hyperthermia Glioma

Antitumor Effects Of High‑temperature hyperthermia On A ...
1010 TAKAGI et al: HIGH-TEMPERATURE HYPERTHERMIA AND EXPERIMENTAL GLIOMA Discussion In the present study, the antitumor effects of HTH were evalu- ... Retrieve Here

Hyperesthesia - Wikipedia, The Free Encyclopedia
Hyperesthesia (or hyperaesthesia) is a condition that involves an abnormal increase in sensitivity to stimuli of the sense. "When a non-noxious stimulus causes the sensation of pain the area will be termed hyperaesthetic". [1] ... Read Article

Hyperthermia Glioma Pictures

Interstitial hyperthermia And Iridium Brachytherapy In ...
Hyperthermia and brachytherapy for gliomas TABLE 1 Clinical summary in six patients with malignant glioma* Maxi- Radiation Dose (Gy) Survival ... Document Viewer

Hyperthermia Glioma Images

Hyperthermic Sensitization By Hematoporphyrin On glioma Cells
INT. J. HYPERTHERMIA, 1998, VOL. 14, NO. 5, 503-51 1 Hyperthermic sensitization by hematoporphyrin on glioma cells A. SAITO*, R. TANAKA, H. TAKAHASHI and K. KAKINUMA ... Content Retrieval

Images of Hyperthermia Glioma

Interstitial Brachytherapy And hyperthermia For Malignant gliomas
166 21. Florell RC, MacDonald DR, Irish WD et al.: Selection bias, survival, and brachytherapy for glioma. J Neurosurg 76:179, 1992 ... Return Doc

Pictures of Hyperthermia Glioma

Treatment Of Malignant glioma Using hyperthermia - BRAINLIFE
Hyperthermia treatment for malignant brain tumors utilizes a CT scan assisted stereotactic apparatus to insert the electrode needle into the center of tumors. ... Fetch Doc

Images of Hyperthermia Glioma

A Phase II Clinical Study On Relapsed Malignant Gliomas ...
Abstract. The purpose of this study was to evaluate the activity and toxicity of electro-hyperthermia (ET) on relapsed malignant glioma patients. ... Read Full Source

Hyperthermia Glioma Pictures

Hyperthermia Enhancement Of Radiation Response And Inhibition ...
INT. J. HYPERTHERMIA, 1991, VOL. 7, NO. 4, 629-641 Hyperthermia enhancement of radiation response and inhibition of recovery from radiation damage in human glioma cells ... Content Retrieval

PNC Effect On Human Glioma - YouTube
Natural occurring metal nanoparticles have a lethal effect on cultured glioma (brain cancer) cells. ... View Video

Hyperthermia Glioma Photos

Enhanced Cytotoxic Effects Of 5-aminolevulinic Acid-mediated ...
Laboratory Investigation Enhanced cytotoxic effects of 5-aminolevulinic acid-mediated photodynamic therapy by concurrent hyperthermia in glioma spheroids ... Access Full Source

Photos of Hyperthermia Glioma

Malignant Glioma - AORN Journal
Malignant Glioma A CASE STUDY Connie B. Zumwalt, RN; Carol K. Baumann, RN n Christmas Eve 1985, a 35-year-old 0 divorced woman, Ms L, returned home after volumetric interstitial hyperthermia treatment system, and therapy was started. Hyperthermia ... Access Full Source

Pictures of Hyperthermia Glioma

A Comparison Of The Enhancement Of Radiation Sensitivity And ...
RADIATION RESEARCH 134, 331-336 (1993) A Comparison of the Enhancement of Radiation Sensitivity and DNA Polymerase Inactivation by Hyperthermia in Human Glioma Cells ... Visit Document

What Is The Medical Definition Of Malignant? - About.com Health
What is the medical definition of the term malignant, and how is malignant different than benign? ... Read Article

Images of Hyperthermia Glioma

Deep RF-hyperthermia Treatment Of Advanced gliomas Annals Of ...
Deep RF-hyperthermia treatment of advanced gliomas H. Sahinbas, D.H.W. Grönemeyer Bochum Annals of oncology 20 of October 2004 Introduction: Treatment of high-grade malignant glioma contrary of numerous n ew approaches is ... Read Content

Photos of Hyperthermia Glioma

Treatment Of Malignant glioma Using hyperthermia. - PubMed - NCBI
KEYWORDS: PubMed Commons home How to join PubMed Commons Neural Regen Res. 2013 Oct 15;8(29):2775-82. doi: 10.3969/j.issn.1673-5374.2013.29.009. Treatment of malignant glioma using hyperthermia. ... Retrieve Content

No comments:

Post a Comment